Palani Center – Mobile Nav
Section 6 – Hero Form (310) 894-XXXX

Straighten Your Smile with Invisalign® in Rancho Palos Verdes

Clear Aligners — Comfortable, Discreet & Personally Guided by Dr. Palani

5.0 Google Rated
Rancho Palos Verdes, CA
Certified Invisalign® Provider
Palani Center – Rancho Palos Verdes Clinic

✨ Limited Offer — Only 12 Spots at This Special Rate ✨

*Offer for new Invisalign patients only. Privacy Policy | Terms and Conditions

★★★★★ 5.0 Rating Flexible Financing Available

Invisalign® Clear Aligners

Why Invisalign® at Palani Center Is Different

At Palani Center for Dental Implants in Rancho Palos Verdes, your Invisalign® journey is guided personally by Dr. Giri Palani from start to finish. Using advanced iTero digital scanning and a thorough clinical evaluation, every treatment plan is tailored to your unique smile — with complete transparency, no shortcuts, and results you can trust.
Comprehensive Oral Assessment Every Invisalign plan begins with a full exam of your bite, gums, and bone health to ensure long-term alignment success.
iTero Digital Precision Advanced digital impressions replace messy molds — delivering faster, more accurate aligners tailored to your teeth.
Transparent, Honest Pricing No bait-and-switch offers or hidden fees — just straightforward costs, flexible financing, and care you can count on.
In-Person Check-Ins Every Visit Dr. Palani personally monitors your progress every 6–8 weeks — no virtual photo check-ins, ever.

Real Invisalign® Results

Smiles Straightened at Palani Center

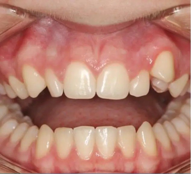
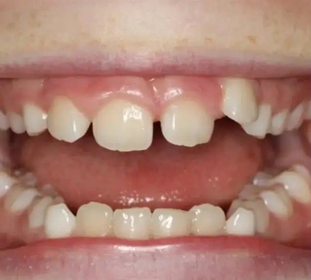
Before – Invisalign Alignment
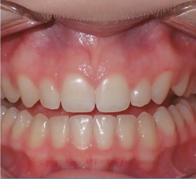
After – Invisalign Alignment
Before After
Crowding Correction
Before – Gap Closure
After – Gap Closure
Before After
Gap Closure
Before – Bite Alignment
After – Bite Alignment
Before After
Bite Alignment

*Results vary by case and individual treatment plan.

Section 3 – Why Choose Invisalign at Palani Center

Why Patients Choose Invisalign® at Palani Center

Virtually Invisible Aligners

Custom-fitted, crystal-clear trays straighten your teeth without anyone noticing — the perfect low-profile solution for busy professionals and confident adults.

No Food Restrictions

Enjoy every meal without worry — simply remove your aligners when you eat. No broken brackets, no trapped food, just a seamless experience from day one.

Comfort & Easy Hygiene

Smooth, BPA-free plastic means no metal irritation or cuts. Plus, removable trays let you brush and floss normally — keeping teeth and gums healthy throughout treatment.

Section 5 – What's Included

Everything Included in Your Invisalign® Package

A complete clear aligner experience — from consultation to retainers, personally guided by Dr. Palani

Your All-Inclusive Invisalign® Treatment Includes

Complimentary Invisalign® Consultation
iTero Digital Scan — No Messy Molds
Comprehensive Oral Exam & Bite Analysis
Custom Treatment Plan by Dr. Palani
Full Set of Custom Invisalign® Aligners
In-Person Progress Check-Ins Every 6–8 Weeks
Mid-Treatment Adjustments & Refinements
Custom Retainers to Maintain Your New Smile
COMPLIMENTARY Teeth Whitening Kit*

New to Palani Center? Your Invisalign® journey starts with a thorough evaluation and a transparent treatment plan — no pressure, no gimmicks. Dr. Palani personally oversees every step to ensure your smile is in expert hands.

✨ Limited Offer — Only 12 Spots at This Special Rate

Flexible financing available. Reserve your complimentary Invisalign® consultation before spots fill up.

*Complimentary Whitening Kit available upon completion of Invisalign® treatment. Subject to availability.

Section 6 – How It Works & FAQ

Get Started in 3 Simple Steps

Beginning your Invisalign® journey at Palani Center is quick, easy, and stress-free.

Step 1

Book Your Free Consultation

Reserve your spot online or by phone — no commitment required, just a simple first step toward a straighter smile.

Step 2

Get Your Custom Plan

Dr. Palani performs a thorough exam and iTero digital scan to design a treatment plan tailored to your unique smile.

Step 3

Start Your Transformation

Receive your custom aligners and begin straightening your teeth — with in-person check-ins every 6–8 weeks to track progress.

Everything You Need to Know About Invisalign®

Common questions patients ask before starting clear aligner treatment.

Q: Is Invisalign® as effective as traditional braces?

Yes — Invisalign® can correct the same issues as metal braces, including crowding, gaps, overbites, and crossbites. Dr. Palani will evaluate your case to confirm you're a great candidate during your free consultation.

Q: How long does Invisalign® treatment take?

Most treatment plans are completed in 12 to 18 months, though your timeline depends on the complexity of your case. Dr. Palani will give you a personalized estimate at your consultation.

Q: Will people notice I'm wearing aligners?

Invisalign® trays are made from clear, medical-grade plastic that fits snugly over your teeth. Most people won't notice you're wearing them — making them ideal for professionals and social situations.

Q: Are there any food restrictions?

None at all. Simply remove your aligners before eating or drinking anything other than water, then pop them back in when you're done. No broken brackets or trapped food to worry about.

Q: How often will I need to come in for appointments?

You'll see Dr. Palani in person every 6 to 8 weeks for a quick progress check. Unlike some providers, we never rely on virtual photo check-ins — your care is always hands-on.

Q: Does Palani Center offer financing for Invisalign®?

Yes — we offer flexible payment plans to make Invisalign® affordable. Our team will walk you through all available options during your consultation so there are no surprises.

Q: Is the consultation really free?

Absolutely. Your initial Invisalign® consultation — including a comprehensive exam and iTero digital scan — is complimentary with no obligation. It's a chance to explore your options with zero pressure.

Q: What happens after my Invisalign® treatment is complete?

Once your aligners have done their work, you'll receive a set of custom retainers to keep your teeth in their new position. Dr. Palani will guide you on the best retention plan for lasting results.

Section 7 – Doctor Profile

Meet Your Invisalign® Provider

Expert cosmetic and implant dentistry, personally guided by Dr. Giri Palani.

Dr. Giri Palani

Dr. Giri Palani

DDS, FICOI · Implant & Cosmetic Dentistry

29050 S. Western Ave, Suite 108B, Rancho Palos Verdes, CA

Since graduating from Marquette University School of Dentistry and completing a residency with Cedars-Sinai Hospital — where he served as chief resident in the Advanced Education in General Dentistry program at UCLA — Dr. Giri Palani has led the way in cosmetic and implant dentistry. His practice combines cutting-edge technology with compassionate, patient-centered care to create healthier smiles and healthier lives.

Certified Invisalign® Provider Advanced training in clear aligner therapy to deliver precise, predictable smile transformations.
State-of-the-Art Technology Uses iTero digital scanning, digital X-rays, and intraoral cameras for accurate, comfortable treatment.
Compassionate, Personalized Care Every patient receives a custom treatment plan built around their unique goals, comfort, and lifestyle.
Book Your Consultation with Dr. Palani
Section 8 – Patient Reviews

What Palani Center Patients Say

Real reviews from real patients. See why Rancho Palos Verdes trusts Dr. Palani for exceptional, 5-star care.

4.7 ★★★★★ (200+ Reviews)
CTA Section – Palani Center Invisalign

👋 Start Your Invisalign® Journey Today

Free Invisalign® Consultation at Palani Center – Rancho Palos Verdes.
No pressure. No obligation. Flexible financing available.

Your Invisalign® Package Includes

  • Complimentary Invisalign® Consultation
  • iTero Digital Scan — No Messy Molds
  • Comprehensive Oral Exam & Bite Analysis
  • Custom Treatment Plan by Dr. Palani
  • Full Set of Custom Invisalign® Aligners
  • In-Person Check-Ins Every 6–8 Weeks
  • Custom Retainers & COMPLIMENTARY Whitening Kit*

Certified Invisalign® Provider • Flexible Payment Plans • Transparent Pricing

✨ Limited Offer — Only 12 Spots at This Special Rate ✨

Palani Center – Footer

Book Appointment